By閱讀2026-01-03 億萬富翁彼得·蒂爾認為值得資助的生物學研究項目 投資人彼得提爾 (Peter Thiel) 最為人所知的或許是他創立了 PayPal 和早期投資 Facebook,但他似乎對生物學也情有獨鍾。自 2011 年以來,蒂爾基金會 (Thiel Foundation) 透過一個名為 Breakout Labs 的機構資助生技新創公司。該機構對「生物學和... 閱讀
By閱讀2026-01-03 毒品非罪化的科學 大麻的法律環境從未如此寬鬆。在最近的選舉季中,阿拉斯加州、俄勒岡州和華盛頓特區投票通過了娛樂用大麻合法化。其他一些州也降低了持有少量大麻的處罰力度,美國兒科學會也對此表示支持。民調顯示,支持大麻合法化的美國人比以往任何時候都多。隨著法律和公眾觀點的轉變,我們決定研究一下毒品非罪化的科學原理。關於放寬... 閱讀
By閱讀2026-01-03 問任何問題:植物會得性傳染病嗎? 研究人員早就知道,某些真菌寄生蟲可以透過花粉在花朵間傳播。而且,與大多數動物性傳染病一樣,植物性傳染病通常不會對宿主植物造成致命傷害。然而,「性傳染病」的概念似乎並不完全適用於植物界。首先,這些感染並非像動物一樣透過直接的身體接觸傳播。通常情況下,真菌孢子會藉助風力或搭乘授粉昆蟲的「順風車」從一株植... 閱讀
By閱讀2026-01-03 為什麼哭完之後我會流鼻水? 每分鐘,人大約會產生1到2微升的淚液。淚液是由油脂、黏液和水混合而成,由眼周不同的腺體和細胞分泌。淚液的作用是保持眼球表面濕潤。眨眼時,眼瞼就像雨刷一樣,將淚液推入兩個稱為淚小點的微小孔洞,淚小點通往兩眼之間的兩個淚囊。眨眼也會擠壓淚囊,將液體排出到鼻腔後方和咽喉。這套系統整天都在運作,只是你通常不... 閱讀
By閱讀2026-01-03 物理學解釋了嵌甲現象。 人類長期以來一直飽受指甲問題的困擾。早在西元7世紀,希臘醫師保羅‧埃吉納就曾著述指甲疾病的外科治療方法,外科醫師也一直在嘗試解決這些問題。儘管許多指甲疾病,例如嵌甲,廣為人知,但人們對它們的了解卻並不透徹。在《物理生物學》雜誌上發表的一篇論文中,科學家首次建立了人類指甲生長的數學模型。研究人員發現,... 閱讀
By閱讀2026-01-03 太空站將獲得類似 UPS 的快遞服務 人們很容易忘記,國際太空站不僅僅是太空人休閒放鬆、拍攝精彩自拍照的地方。由於其獨特的微重力環境,太空站實際上是一個重要的研發中心,進行數百項正在進行的實驗,涵蓋從人體組織生長到蛋白質晶體形成等各個領域。然而,在國際太空站上進行實驗卻有一個小小的難題:它距離地球相當遙遠。將關鍵樣本從太空站運送到地球可... 閱讀
By閱讀2026-01-03 太空旅行中的休眠:科學家仍需了解什麼 首批前往火星的太空人或許會在長達180天的旅程中全程處於睡眠狀態。在NASA委託SpaceWorks進行的一項關於人體休眠狀態的研究中,航空工程師發現,讓太空人在整個旅程中處於休眠狀態的益處可能數不勝數。由於無需生活空間和廚房設施,載人飛船可以更輕更小。由於所有人都處於類似冬眠的狀態,新陳代謝率降低... 閱讀
By閱讀2026-01-03 虛擬體驗會導致創傷後壓力症候群嗎? 愛爾蘭鄧萊裡藝術、設計與科技學院專門研究網路犯罪的心理學家格雷恩柯萬表示,虛擬環境幾乎肯定會引發真實的焦慮。例如,你在電子遊戲中進入黑暗小巷時的生理和情緒反應,可能與你在現實生活中類似情況下的反應類似。 「但這是否足以引發創傷後壓力症候群?目前還沒有證據證明這一點。」柯萬說。雖然不乏一些關於玩家在《... 閱讀
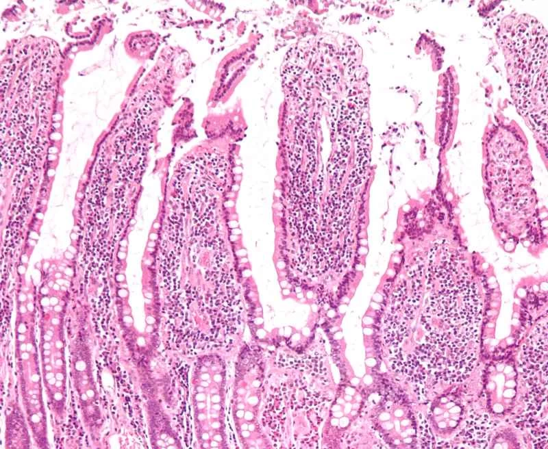
By閱讀2026-01-03 人類腸道的表面積相當於一間單身公寓。 教科書(這裡僅舉幾例)說,人類腸道的表面積約為300平方米,相當於一個網球場的大小。但是,誰來核實這些事實呢?嗯?別擔心,最近有兩位研究人員重新審視了這個問題,並提出了更正。 「事實上,胃腸道的內表面面積只相當於一間普通單身公寓的面積,」胃腸外科研究員拉爾斯·範德里克斯在一份聲明中表示。範德里克斯和... 閱讀
By閱讀2026-01-03 同時吸食毒品和醉酒會對身體造成什麼影響? 酒精和大麻的致幻作用已被廣泛研究,但它們共同作用——即「混合醉酒」——的科學研究卻嚴重不足。本文將探討我們目前對大麻和酒精共同作用如何影響大腦的了解。首先,我們來了解一些基本概念:大麻含有四氫大麻酚(THC),它會作用於大腦中的大麻素受體。酒精則會抑制中樞神經系統。俄亥俄州立大學心理學和神經科學教授... 閱讀
By閱讀2026-01-03 更多證據表明,百日咳正在因疫苗而發生變異 百日咳桿菌正在因疫苗而變異。需要證據嗎?一項新研究發現,澳洲30%的百日咳桿菌已經發生變異。我們之前報道過百日咳的演變。研究人員在芬蘭、法國、義大利、日本和美國都發現了百日咳桿菌(百日咳的學名)的演化版本。正如我們之前報導的,這些進化後的細菌似乎並不比之前的版本更危險。儘管如此,美國疾病管制與預防中... 閱讀
By閱讀2026-01-03 大圖:一隻誕生於外太空的果蠅 <img width="919" height="736" loading="lazy" src="/upload/20260103/649f47a2ce4967.webp" alt="" class="wp-image-23777" sizes="auto, (max-width: 919p... 閱讀
By閱讀2026-01-03 百日咳已因疫苗而變異 這已經不是你父母那一代的百日咳了。根據美國疾病管制與預防中心的一項新研究,這種曾經常見的兒童疾病,也就是百日咳桿菌,在過去幾年裡,由於疫苗的出現而發生了變化。變異的百日咳桿菌並不比原始菌株更危險,而且針對該疾病的疫苗仍然有效。因此,這些發現並沒有改變研究人員和醫生對百日咳作為公共衛生問題的認知。相反... 閱讀
By閱讀2026-01-03 供參考:為什麼緊急避孕藥對體重較重的女性無效? 如果你是女性——或者即使你不是——你可能已經聽說了。週一, 《瓊斯母親》雜誌報道稱,一家生產與美國最知名的“緊急避孕藥”Plan B One-Step成分相同的歐洲製造商警告患者,該產品對體重超過165磅(約75公斤)的女性效果不佳。而對於體重超過176磅(約80公斤)的女性,則完全無效。美國女性的... 閱讀
By閱讀2026-01-03 供參考:處女懷孕有可能發生嗎? 孤雌生殖,科學家稱之為無性繁殖,在動物界似乎相當普遍。許多昆蟲和其他無脊椎動物能夠在有性繁殖和無性繁殖之間轉換。在脊椎動物中,至少有80個分類群記錄了孤雌生殖,包括魚類、兩棲類和爬蟲類。但人類和其他哺乳動物卻是個顯著的例外。就目前所知——當然,數據中也存在一些空白,尤其是鴨嘴獸——沒有任何哺乳動物物... 閱讀