

隨著義肢越來越普及,人們過世後遺留下來的義肢也越來越多。這些義肢最後都去了哪裡?
根據BBC記者弗蘭克·斯溫報道,對於矽膠隆乳或人工髖關節等「惰性」植入物,通常會留在體內並與遺體一同埋葬。火葬時,矽膠會燃燒殆盡,但金屬髖關節等植入物通常會從骨灰中分離出來處理。其他金屬,例如金填充物,可能會被收集起來——例如,荷蘭公司Orthometals每年從歐洲各地的火葬場回收250噸金屬進行出售。斯溫寫道:“你死後,你的一小部分或許有一天會出現在飛機、風力渦輪機,甚至另一個人身上。”
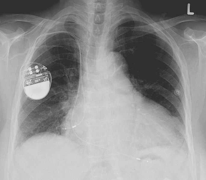
心臟節律器、植入式心臟去顫器(ICD)和其他帶有電子元件的假體通常會被移除,尤其是在火葬的情況下,因為它們含有可能發生爆炸的電池。 2002年的一項研究發現,「英國約有一半的火葬場曾發生心臟起搏器爆炸事件」。據報道,首例此類爆炸發生在1976年,在火葬場牆壁上炸出了一個「手指大小、半英寸深的洞」。 (死於火葬場心臟起搏器爆炸,這無疑是一種糟糕且頗具諷刺意味的死法。)
目前,歐美國家都禁止重複使用許多假體,例如心臟節律器。但這些設備價格昂貴,發展中國家的一些患者無力負擔新的設備費用。因此,一些慈善機構正嘗試重複使用這些設備。在英國,慈善機構 Pace4Life 收集可用的心臟節律器並將其送往印度。美國的一項名為「我的心,你的心」(Project My Heart Your Heart)的計畫也致力於在美國開展類似的工作,該計畫發現「75 名接受二手植入式心臟復律除顫器(ICD)的患者沒有出現感染或故障的跡象」。
許多醫療機構不回收義肢,因此一些慈善機構正努力實現義肢的再利用。總部位於納許維爾的「與希望同行」(Standing With Hope)組織就致力於回收舊義肢,並將其捐贈給加納等發展中國家。
英國廣播公司